「醫生,我的貓貓尿不出來!我的貓貓一直去貓砂盆蹲了又蹲,都只有一滴一滴的!我的貓貓尿尿好像有血!」上述是在門診中飼主常訴說到關於毛孩的症狀,在觀察病歷時可發現,只要是公貓和症狀描述是尿尿不順,十有八九是下泌尿道症侯群,下泌尿道包含膀胱、尿道,其中最常見的三個病因就是:間質性膀胱炎、泌尿道感染、膀胱結石。
間質性膀胱炎
又稱自發性膀胱炎,首次發病可能是2~6歲區間,主要是膀胱黏膜層缺損,造成膀胱發炎,目前認為大多是與壓力有關係,因此多貓家庭、最近有環境轉變(例如搬家)、家中有新成員或是朋友來訪、鄰居裝修有噪音時,都可能導致貓貓緊張而發病喔!

泌尿道感染
若貓貓常常舔生殖器,可能會把口腔的細菌接踵到包皮尿道開口上面,也可能是家裡貓砂盆不夠使貓貓容易出現憋尿情形,或是不乾淨的貓砂盆導致細菌從生殖器經過尿道跑到膀胱去,都容易造成泌尿道感染,而處理泌尿道感染最有效的方式就是抗生素治療,醫生會抽取貓貓的尿液進行細菌培養,選擇最適合的抗生素治療,飼主要遵循醫生的醫囑,不按時吃藥或是自行停藥,都可能讓細菌越來越強大,產生抗藥性。

▲貓咪用力排尿。
膀胱結石
當膀胱環境受到發炎感染或是飲食的刺激與改變,就可能導致結石的產生,結石在膀胱裡面翻滾會使膀胱黏膜受損,進一步惡化發炎,甚至小石子不小心滾到尿道,就會造成尿路阻塞!一但當醫生診斷出尿路完全阻塞,就需要做麻醉導尿的動作,先把堆積的尿尿先排出,導尿管一般來說需要放置3-5天,配合留院觀察與輸液治療,讓發炎的膀胱慢慢復原,等狀況穩定後移除導尿管,觀察到正常排尿才能出院。結石的處理方法有分外科移除或是內科食療,這與結石的種類還有每隻貓咪的狀況而有所不同,需要專業的醫師做評估並給予治療建議。以上三個問題,都會直接或間接的造成膀胱本體發炎,發炎的情況下,容易產生一些細胞碎屑或組織,一個不小心,就有可能塞住尿道,若是部分塞住,就像水管卡了一些髒髒的東西,尿的不順,主人會發現貓咪一直進出貓砂盆,每次都只有一點點;若是完全塞住,尿液排不出去往膀胱堆積,膀胱就會越撐越大,身體的代謝廢物無法從尿液中排出,又被重新吸收回體內,這就是尿毒症,尿毒症一但發生,貓咪就會出現虛弱無力、厭食、嘔吐等症狀。而代謝廢物中最可怕的就是鉀離子,鉀離子正常會透過尿液排出,如果塞住了排不出去,就會導致血中鉀離子濃度上升,也就是高血鉀,當血鉀太高時,心臟就會停止跳動了!所以,完全尿不出來是急診,需要趕緊就醫,超過24小時沒有排尿,導致死亡風險也隨之上升。另外,尿路阻塞是有可能會復發的!不是導完尿就沒事了,需要針對導致阻塞的原因去做治療與預防。

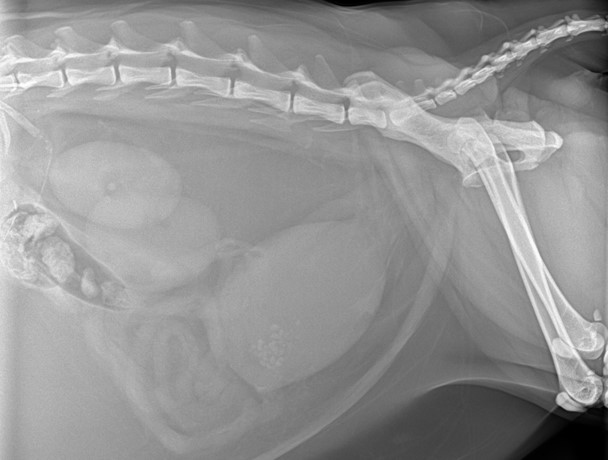
▲ 尿路阻塞膀胱變大,X光可見膀胱結石。

▲ 導尿示意圖。
如何有效地預防貓咪膀胱健康問題
飲食方面有處方飼料可以改善膀胱發炎的狀況與減少尿中結晶的產生,另外增加水量的攝取有利於尿量增加,減少尿道塞住的機會,流動式水盆或是增加罐頭比例,或是在水碗中加個冰塊,都有助於增加貓咪喝水的意願。環境則要避免緊迫,例如增加跳台,讓貓咪有躲藏的空間,若是多貓家庭,貓砂盆與水碗都要配置多一點於不同地方,讓他們想上廁所就有廁所,想喝水就有水喝,當然,貓砂盆也需要保持乾淨,貓咪可是很注重衛生的!髒亂的貓砂盆會降低貓貓尿尿的意願。
小叮嚀
貓咪的尿路阻塞,是會有生命危險的,一旦發現尿尿狀態異常,或是完全沒有尿尿,要儘早就醫,聽從醫師的建議,配合治療,才可以幫貓咪解決尿尿危機!

延伸閱讀:








